Home
Listen in app
A New Connection Between The Gut Microbiota and Prostate Inflammation in Aging Men

A New Connection Between The Gut Microbiota and Prostate Inflammation in Aging Men

Aging-US Podcast

130
3:42
Nov 8, 2023

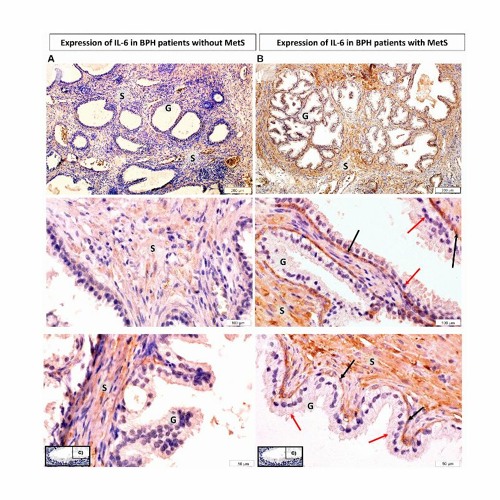
BUFFALO, NY- November 8, 2023 – A new #researchpaper was #published in Aging (listed by MEDLINE/PubMed as "Aging (Albany NY)" and "Aging-US" by Web of Science) Volume 15, Issue 20, entitled, “Tissue immunoexpression of I…

#aging#bph#lipids#fattyacids#research#openaccess#openscience#peerreview#journal#publication
Aging-US Podcast
Aging-US Podcast
109 Followers

Related tracks

See all
  • New Insights into HER2-Mutated Non-Small Cell Lung Cancer in Brazil
    New Insights into HER2-Mutated Non-Small Cell Lung Cancer in Brazil
    Oncotarget Podcast
    35
    5:01
    1d
  • Behind the Study: Social and Cardiovascular Risk Factors in Older Adults with Prediabetes
    Behind the Study: Social and Cardiovascular Risk Factors in Older Adults with Prediabetes
    Aging-US Podcast
    54
    7:21
    1d
  • Engineered Bacterial Therapy Activates Immune Response in Cancer Preclinical Studies
    Engineered Bacterial Therapy Activates Immune Response in Cancer Preclinical Studies
    Oncotarget Podcast
    50
    3:57
    2d
  • Overactive MicroRNAs Block Fat Cell Development in Progeria
    Overactive MicroRNAs Block Fat Cell Development in Progeria
    Aging-US Podcast
    48
    3:48
    3d

Enjoy the full SoundCloud experience in the app

Google Play LinkApp Store Link
  • Charts
  • Company
  • About us
  • Directory
  • Newsroom
  • Jobs
  • Developers
  • Legal
  • Copyright
    • Follow us on Instagram
    • Like our Facebook page
    • Follow us on Twitter
© 2025 SoundCloudLanguage:
  • Home

    Home

  • Feed

    Feed

  • Search

    Search

  • Library

    Library

  • Download

    Download