Home
Listen in app
Human Senescent Fibroblasts Cause Lung Fibrosis in Mice

Human Senescent Fibroblasts Cause Lung Fibrosis in Mice

Aging-US Podcast

90
4:17
Jul 31, 2023
1

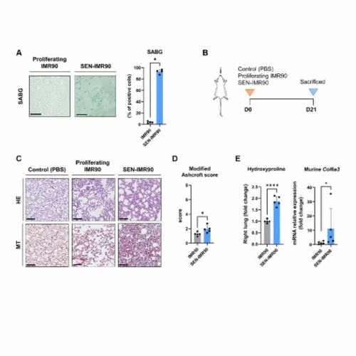
A new research paper was published on the cover of Aging (Aging-US) Volume 15, Issue 14, entitled, “Human senescent fibroblasts trigger progressive lung fibrosis in mice.”

Cell senescence has recently emerged as a poten…

#aging#cellularsenescence#lungs#fibroblasts#fibrosis#mousemodel#senolytic#research#researchpaper#openaccess
Aging-US Podcast
Aging-US Podcast
109 Followers

Related tracks

See all
  • Wafik S. El-Deiry Chairs 2025 WIN Symposium in Collaboration with APM in Philadelphia
    Wafik S. El-Deiry Chairs 2025 WIN Symposium in Collaboration with APM in Philadelphia
    Oncotarget Podcast
    124
    3:50
    11h
  • Sex-Specific Effects Found in New Anti-Aging Therapy for Elderly Mice
    Sex-Specific Effects Found in New Anti-Aging Therapy for Elderly Mice
    Aging-US Podcast
    30
    3:17
    1d
  • Longevity & Aging Series (S3, E6): Girish Harinath
    Longevity & Aging Series (S3, E6): Girish Harinath
    Aging-US Podcast
    60
    1:02:05
    5d
  • Precision Oncology in Metastatic Colorectal Cancer: A Real-World Case Study
    Precision Oncology in Metastatic Colorectal Cancer: A Real-World Case Study
    Oncotarget Podcast
    62
    4:41
    1w

Enjoy the full SoundCloud experience in the app

Google Play LinkApp Store Link
  • Charts
  • Company
  • About us
  • Directory
  • Newsroom
  • Jobs
  • Developers
  • Legal
  • Copyright
    • Follow us on Instagram
    • Like our Facebook page
    • Follow us on Twitter
© 2025 SoundCloudLanguage:
  • Home

    Home

  • Feed

    Feed

  • Search

    Search

  • Library

    Library

  • Download

    Download